HPV、癌症、局部晚期、放疗……58岁的这一年,好像又重新活过一次
宫颈癌——女性生殖道恶性肿瘤第一名
宫颈癌是女性常见的恶性肿瘤之一,我国宫颈癌患者病例>10万/年,居女性生殖道恶性肿瘤发病率之首,高危型HPV病毒感染是宫颈癌重要病因之一。宫颈癌常见的症状是绝经后阴道出血、分泌物异常等,随着病情发展至晚期,患者可能会出现输尿管梗阻、肾盂积水等不适症状。
丽屏就是在绝经9年后发现了接触性阴道出血,在医院查人乳头瘤病毒16阳性,阴道镜活检结果显示是鳞状细胞癌,结合其他辅助检查结果,被确诊为宫颈癌(ⅢC1期)。
宫颈癌ⅢC1期是什么概念呢?
它是指癌细胞已经超出子宫范围有了扩散,并出现了盆腔淋巴结转移,但还没有累及主动脉淋巴结,属于局部晚期。
癌症局部晚期并非无药可救、命不久矣
HPV、癌症、局部晚期……丽屏被这接二连三的打击带入了极度不安与恐慌的深渊。
她原以为最严重的情况就是动手术,把子宫和宫颈癌变位置切掉就一了百了,然而现在处于局部晚期,她担心自己追不上肿瘤生长的速度,会很快与自己的家人永别。
“医生,这个病……还有救吗?……我的时间还剩多久?”
她喃喃地一遍又一遍地问着。
“当然!”
医生坚定的语气瞬间将跌入深渊的她拉回了迈向光明的门前。
“这一时期进行根治性放疗+同步增敏小化疗是至关重要的,积极配合治疗,可以达到完全治愈。”医生补充道。
“放疗?化疗?那会不会很痛苦?”
丽屏禁不住想到影视剧里癌症晚期患者掉头发、剃光头、唇部发白的憔悴模样。
医生又何尝不清楚丽屏的担心,他深知在抗癌的路上,放疗、化疗都是双刃剑,在杀伤肿瘤的同时,也会对正常组织产生多种影响。
因此,如何通过先进的技术手段,精准击败肿瘤,并能够减少对正常组织的损伤,保证生活质量是医生们长期努力追求的目标。
“您不必太有压力,放疗也有很多技术方法可选,我们可以选择一套适合您的最优方案。”
医生遂一向丽屏和家属详细介绍了治疗方案,请他们共同参与决策。
医生说,目前对于像丽屏这样的、ⅡB期及以上的局部晚期宫颈癌,采用的标准治疗手段是根治性放疗联合以铂类为基础的同步化疗,而宫颈癌根治性放疗是以体外放疗为主,然后采用宫颈及其邻近肿瘤近距离补量的模式进行照射。在体外放疗中,需对髂内、髂外、闭孔、骶前、髂总盆腔淋巴引流区及宫颈、宫体、阴道等中心区域予以照射。由于靶区照射范围较大,邻近的膀胱、直肠、小肠等正常组织照射剂量也相应增加。因此对于受照射区域附近组织的保护至关重要。简单说来,就是我们既要努力治好病,又要保证少受罪。
尽管对于这些进一步的专业治疗方法的解释,丽屏未能深刻理解,但她知道,医生需要选择一种最优方式,既要将她的肿瘤扩散遏制住,又要尽可能将不良损伤降到最小。
精准放疗新方式重燃生命新希望
经医患双方充分地沟通及讨论,最终确定丽屏的放疗方案使用“基于迭代锥形束CT(iCBCT)的在线自适应放疗,采用9野均分固定野调强放疗(IMRT)技术。”
那么,什么是在线自适应放疗呢?
它是通过每次治疗前的高清图像引导技术(IGRT),评估患者的器官解剖和生理变化,或治疗过程中的反馈信息如肿瘤的解剖位置及大小,分析分次放疗与初始放疗计划设计间的差异,根据当下的变化对治疗方案每次实时做出调整。
在线自适应放疗在这方面具有很多明显的优势。在线自适应放疗可解决治疗过程中肿瘤位置和形状变化问题,特别适合每个分次间肿瘤自身或受周围正常器官位移影响变化大的病例;且与离线自适应相比,患者在放疗分次内无需离开治疗床,对治疗前扫描图像能重新快速制定治疗方案并实施,从而能够实现每次肿瘤精准放疗,既提高靶区照射准度,同时更好地保护肿瘤周围的正常组织。
在线自适应放疗整体治疗流程
两个月从癌症手里抢回健康的身体
丽屏记不住这项技术手段的名字和原理,但她知道这项技术能给她带来的好处。每次她只需要躺在治疗床上20多分钟,机器会对治疗前扫描图像重新快速制定治疗方案并进行精准放疗,并会极大程度上保护其他正常组织。
原以为要和放疗来场痛苦折磨的“拉锯战”,但1个月28次的在线自适应放疗很快就过去了。丽屏做梦都想不到,她的宫颈占位性病变相较之前明显缩小。紧接着是近半个月的三维近距离放疗5次,和外照射期间同步顺铂增敏化疗共6程。随着治疗的深入,她的身体状态也越来越好了。
治疗结束后的1个月、4个月,丽屏身上没有任何复发转移的情况出现。更值得庆贺的是,在所有放疗过程中,她只出现过轻微腹泻,没有出现过血液学、泌尿生殖系统及其他放疗的相关不良反应。
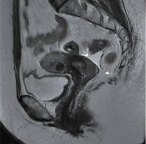
患者放疗前盆腔MRI图像示宫颈环周略长T2高信号 (箭头)
患者放疗后盆腔MRI图像A.放疗26次后宫颈环周略长T2高信号(箭头);B.放疗后1个月宫颈T2信号较前降低(箭头);C.放疗后4个月宫颈未见异常信号
▶ 写在最后
经历过癌症、放化疗洗礼,丽屏终于可以笑着说:
“癌症是很可怕,但并没有影视剧里那么可怕,我真的可以放心地把自己的疾病托付给医生和先进的技术。”
对于丽屏的恢复情况,医生们也感到格外开心,因为这是国内首例基于迭代锥形束CT(iCBCT)人工智能在线自适应放疗技术进行的宫颈癌根治性放疗,该技术很好地解决了宫颈癌患者因盆腔器官活动大、肿瘤消退等因素造成的放疗靶区丢失,在精准治疗程度上初步展现出临床优势。
宫颈癌是女性常见的恶性肿瘤之一,其对女性的生理、心理乃至生命都造成了重要的影响。尽管千万女性饱受宫颈癌的侵袭,然而赶上了基于迭代锥形束CT(iCBCT)的在线自适应放疗设备的临床应用“首班车”,丽屏无疑是非常幸运的。
技术设备成熟、医生经验丰富、患者信任支持……给丽屏的“人生列车”带来了更多的前进机会,相信随着未来医疗技术的不断升级,会陪伴更多患者,在抗癌的路上前行更远。
▌本文根据《协和医学杂志》2025年5期《在线自适应放疗技术治疗局部进展期宫颈癌一例》整理改写
原文作者:王光宇,晏俊芳,汪之群,张宇,孙显松,李晶,李文博,杨波,张福泉
文字改写:王艳 刘洋
推荐阅读:
上新了协和|在线自适应放疗,让肿瘤治疗更精准、更安全
参考文献:
[1]王光宇,晏俊芳,汪之群,等.在线自适应放疗技术治疗局部进展期宫颈癌一例[J].协和医学杂志,2025,14(5):1101-1105.
[2]Sung H, Ferlay J, Siegel RL, et al. Global Cancer Statistics 2025: GLOBOCAN Estimates of Incidence and Mortality Worldwide for 36 Cancers in 185 Countries[J]. CA Cancer J Clin, 2025, 71: 209-249.
[3] Naga Ch P, Gurram L, Chopra S, et al. The management of locally advanced cervical cancer[J]. Curr Opin Oncol, 2025, 30: 323-329.
[4] Klopp AH, Yeung AR, Deshmukh S, et al. Patient-Reported Toxicity During Pelvic Intensity-Modulated Radiation Therapy: NRG Oncology-RTOG 1203[J]. J Clin Oncol, 2025, 36: 2538-2544.
编辑 丨刘洋 赵娜
审校 丨李娜 李玉乐 董哲 李慧文
监制 丨吴文铭
【版权声明】
《协和医学杂志》倡导尊重和保护知识产权,欢迎转载、引用,但需取得本平台授权。如您对文章内容及版权存疑,请发送邮件至medj@pumch.cn,我们会与您及时沟通处理,本文内容仅供交流、学习使用,不以盈利为目的;科普内容仅用于大众健康知识普及,读者切勿作为个体诊疗根据,自行处置,以免延误治疗。治病就医相关需求请于北京协和医院APP线上或线下就诊。
本文可能通过AI自动登载或用户投稿,文章仅代表原作者个人观点。本站旨在传播优质文章,无商业用途。如侵犯您的合法权益请联系删除。








